Porcelain Veneers
Frequently Asked Questions
Meet Our Doctor:
Dr. Monica Ramos Boyd DDS
Dr. Ramos Boyd began practicing in 2009. She was raised in Harlingen, and was excited about returning home to practice dentistry in her community. She received her dental degree from the University of Texas Health Science Center in San Antonio, and her Bachelor of Science degree from the University of Texas at Pan American.
She treats adults and children, and performs the following procedures: cosmetic porcelain crowns and veneers, esthetic fillings, bleaching, root canals, minor oral surgery, preventive care, periodontal therapy, implant crowns, bridges, and dentures. Dr. Ramos Boyd is ...
Featured Blog Posts - Porcelain Veneers
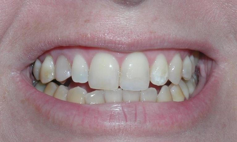
Porcelain Veneers Improve Patient's Smile by Harlingen Dentist James Burkholder
Here is a woman with chipped, worn, discolored and uneven teeth. We were able to help her with cosmetic porcelain veneers on the four front teeth. This dramatically improved her smile and helped her self esteem. We accomplish this level of esthetic dentistry at our office, and we invite you to visit us and see if you are a candidate for cosmetic dentistry. 956-428-5566
