Smile Gallery


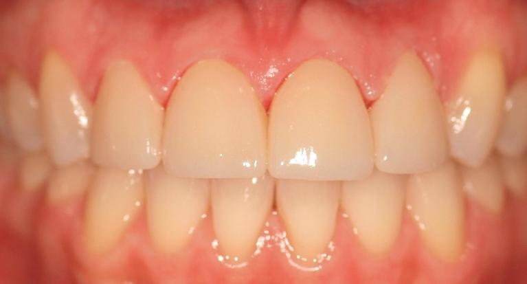
Dr. Ramos Boyd was able to transform our patient's smile using composite bonding. No anesthetic was needed for this painless procedure.




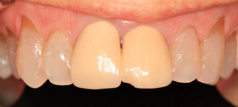
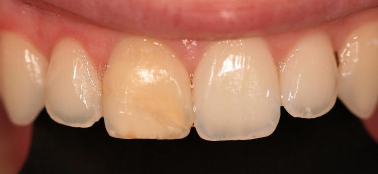
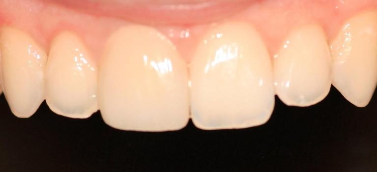
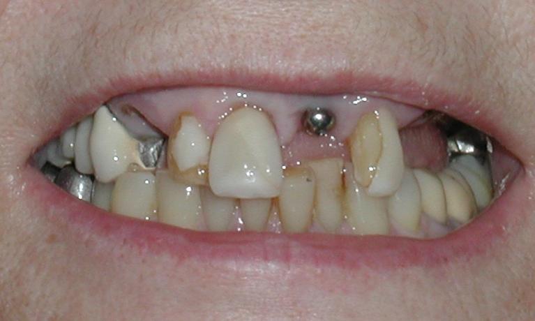
Our patient was unhappy with the color of several old crowns. It can be difficult to match front crowns to the surrounding teeth. Our patient was concerned that we may have to place crowns on the adjacent teeth to achieve a natural look. We were confident we could meet our patients goals while providing conservative treatment. We were able to replace the broken and discolored crowns and match her natural teeth.













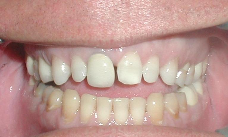
Here is a lady that had missing back teeth, spaces, tooth wear, and a gummy smile. She had all teeth removed, and the All on 4® Concept Dental Implant bridges placed. You can see how her smile was transformed giving her a pleasant, beautiful appearance lifting her confidence and self esteem.







