Harlingen Dentistry

Front Tooth Makover

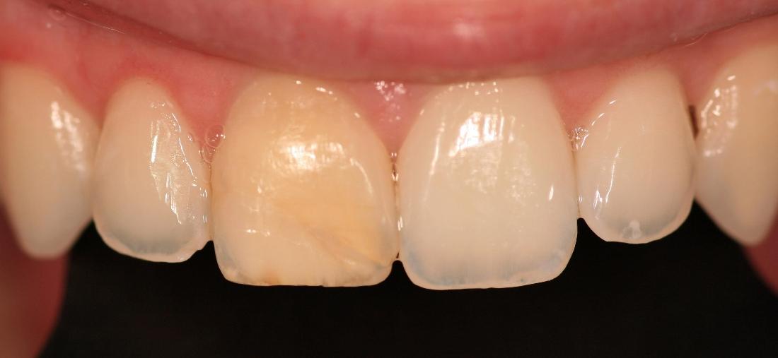
Our patient fractured his front tooth in a childhood accident and it was previously restored with a root canal and filling. It discolored with time and our patient wanted a permanent restoration. Opal Go 10% whitening trays and a new crown restored our patient’s smile.

Related Services:

Cosmetic Dentistry
Getting an appointment is fast and easy!
If you have difficulty using our website, please email us or call us at (956) 428-5566
View the ADA Accessibility Statement