Harlingen Dentistry

A New Smile

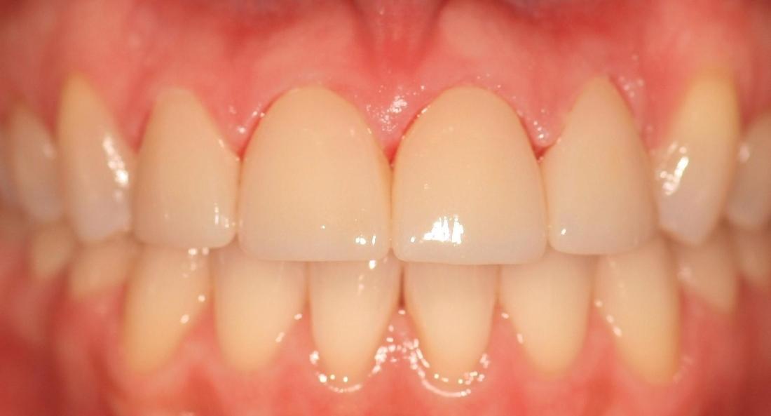
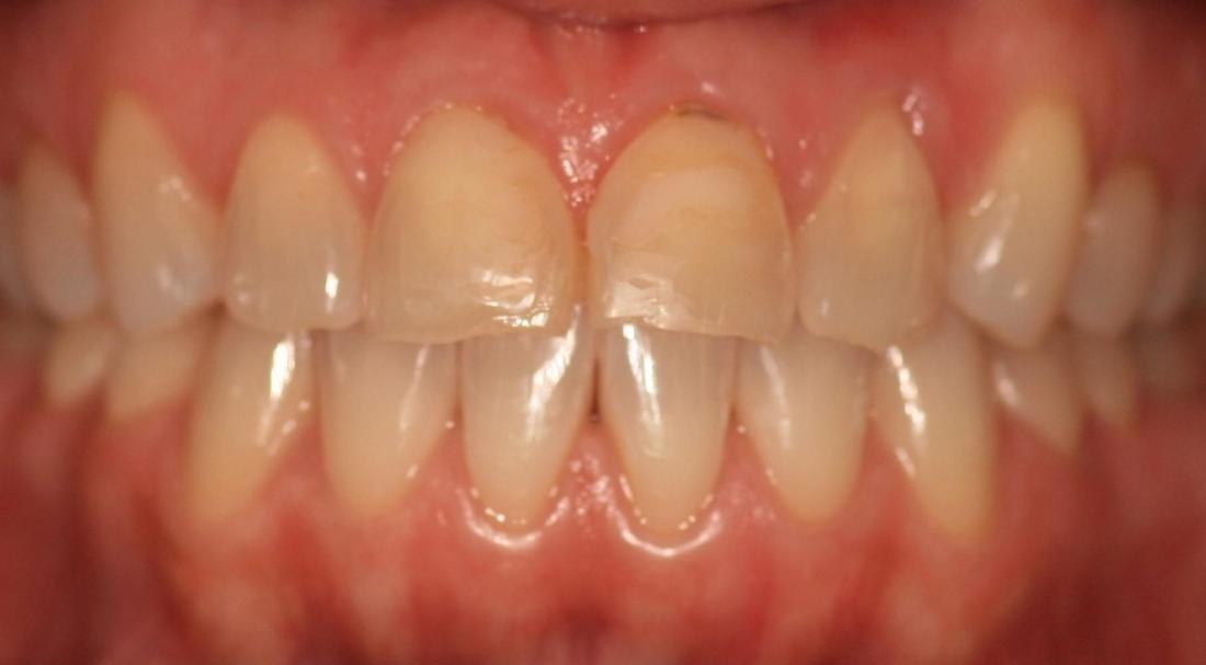
Rebecca wanted to change the appearance of her smile. Her front teeth had existing fillings that were beginning to chip. A complete evaluation revealed that the position of her lower teeth was the contributing factor. After orthodontics, home whitening and porcelain crowns, Rebecca is confident with her new smile!

Related Services:

Cosmetic Dentistry
Getting an appointment is fast and easy!
If you have difficulty using our website, please email us or call us at (956) 428-5566
View the ADA Accessibility Statement