Harlingen Dentistry

Dental Implants Case 5: Full Upper Implant Crowns

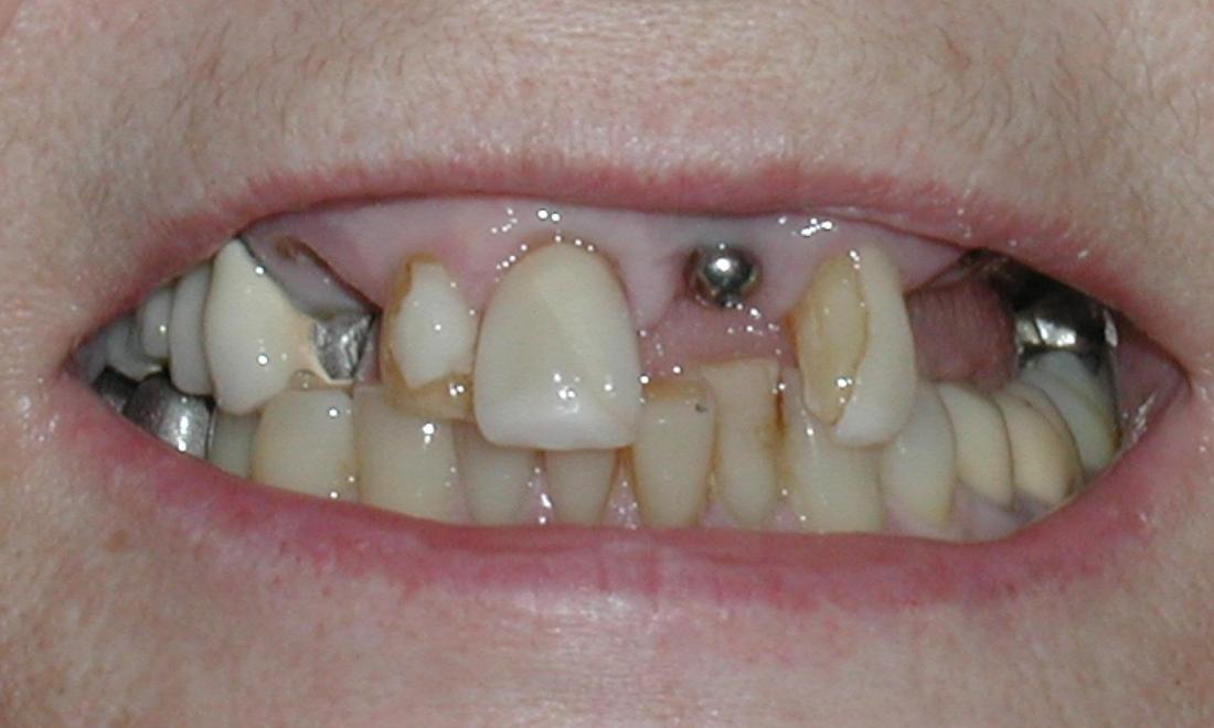
Before: This patient came to our office with missing and broken teeth. She was interested in dental implants to restore her smile. There were nine implants placed in her upper arch, and then porcelain crowns were placed. After: Here you see the finished case. All the teeth are restored, and she has a beautiful smile giving her self confidence and better self esteem.

Related Services:

Dental Implants - All-on-4®
Getting an appointment is fast and easy!
If you have difficulty using our website, please email us or call us at (956) 428-5566
View the ADA Accessibility Statement