Harlingen Dentistry

Dental Implants Case 4: Single Tooth Implant

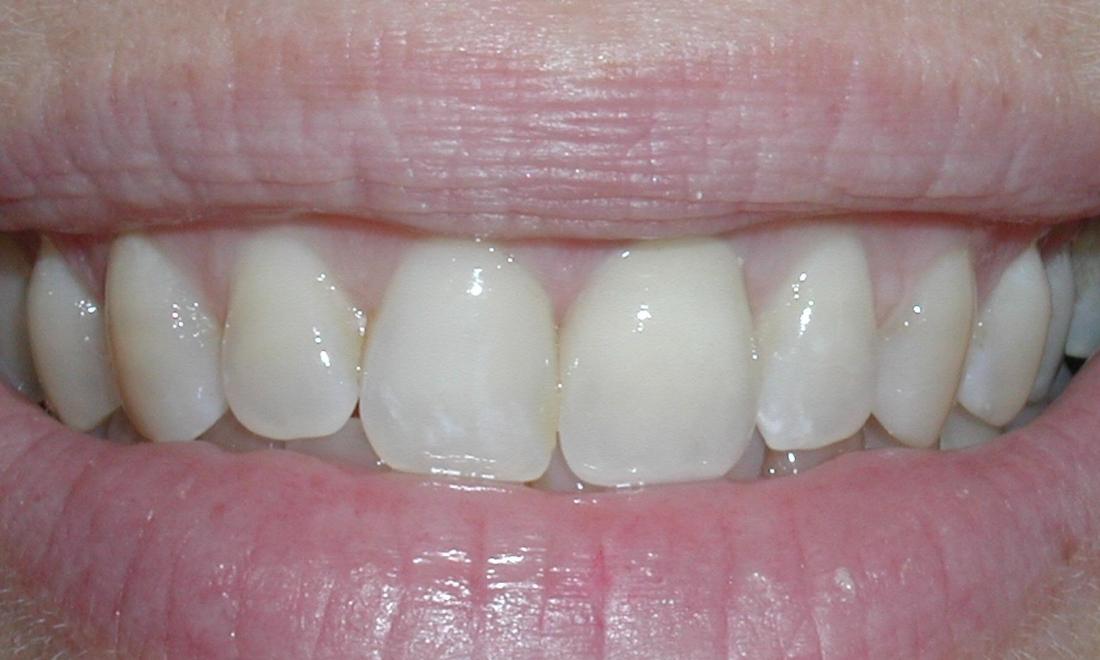
Before: Here is a nice example of an immediate temporized dental implant. This lady fractured her front left tooth and it appears dark. It was removed by an oral surgeon, and the implant was placed right away. This keeps the gum around the tooth intact, so it will not dissolve away. The patient came to my office the same day. We placed a permanent zirconia abutment on the implant that you can see in the second before photo. Then, a temporary crown was cemented. See how the gum tissue around the abutment has not shrunken or collapsed. She will wear the temporary crown for three months. After: Here she is with the new all porcelain crown cemented over the abutment. See how the gum is perfectly formed around the tooth, and it is the same height as the teeth on either side. She has a beautiful smile with a dental implant without having to go with a missing tooth.

Related Services:

Dental Implants - All-on-4®
Still need an appointment?
If you have difficulty using our website, please email us or call us at (956) 428-5566
View the ADA Accessibility Statement